检验医学 ›› 2020, Vol. 35 ›› Issue (7): 726-733.DOI: 10.3969/j.issn.1673-8640.2020.07.022
张秋1, 李杰1, 王猛1, 王毅2, 杨波2, 胡征3(
)
ZHANG Qiu1, LI Jie1, WANG Meng1, WANG Yi2, YANG Bo2, HU Zheng3(
)
摘要:
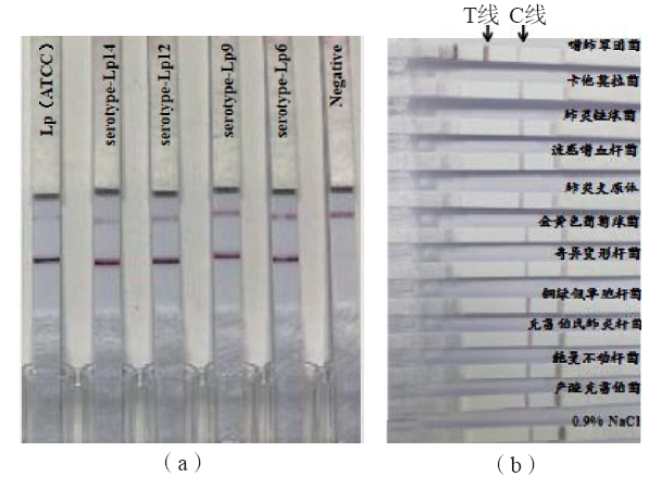
目的 研制特异性检测嗜肺军团菌(Lp)的胶体金免疫层析试纸条。方法 通过基因工程制备Lp-肽聚糖关联脂蛋白(PAL)重组蛋白并进行纯化,筛选分泌抗Lp-PAL重组蛋白单克隆抗体(简称单抗)的杂交瘤细胞株,采用间接酶联免疫吸附试验(ELISA)和免疫印迹法鉴定筛选到的Lp-1和Lp-2单抗的特异性,采用生物膜层干涉(BLI)技术鉴定抗原抗体反应的特异性。依据双抗体夹心原理制备胶体金免疫层析试纸条,并初步评价其检测性能(特异性、灵敏度及稳定性)。结果 筛选到2株高效分泌抗Lp-PAL蛋白抗体的杂交瘤细胞株Lp-1和Lp-2,纯化得到2种单抗Lp-1和Lp-2。间接ELISA检测结果表明,Lp-1及Lp-2单抗只与Lp发生阳性反应,与其他10种呼吸道常见病原菌(肺炎链球菌、卡他莫拉菌、流感嗜血杆菌、肺炎支原体、金黄色葡萄球菌、肺炎克雷伯菌、产酸克雷伯菌、鲍曼不动杆菌、铜绿假单胞菌、奇异变形杆菌)无交叉反应。免疫印迹法结果显示,Lp-1和Lp-2单抗与Lp-PAL天然蛋白和重组蛋白有强反应,与肺炎链球菌、流感嗜血杆菌和卡他莫拉菌无目的反应条带。BLI技术的验证结果显示,抗原抗体的相互作用力均较强,解离速率慢,Lp-1和Lp-2单抗识别的是同一抗原的不同抗原表位,且只与Lp有强反应,与其他10种细菌均无特异性结合反应。制备的胶体金免疫层析试纸条最低检出限为1×107 CFU/mL,与Lp常见4种血清型(Lp14、Lp12、Lp9和Lp6)均有特异性反应,与肺炎链球菌、卡他莫拉菌等10种常见呼吸道病原菌均无交叉反应,可在25 ℃环境下稳定6个月。结论 PAL蛋白具有高度的表面暴露性和较强的抗原性,可作为Lp的检测标志物,以此为基础制备的胶体金免疫层析试纸条具有快速、简便、灵敏的特点,适用于Lp感染的快速检测。
中图分类号: