| [1] |
TESTI A M, MOHAMED S, DIVERIO D, et al. Outcome of relapsed/refractory acute promyelocytic leukaemia in children,adolescents and young adult patients:a 25-year Italian experience[J]. Br J Haematol, 2021, 195(2):278-283.
DOI
URL
|
| [2] |
AUTORE F, CHIUSOLO P, SORÀ F, et al. Efficacy and tolerability of first line arsenic trioxide in combination with all-trans retinoic acid in patients with acute promyelocytic leukemia:real life experience[J]. Front Oncol, 2021, 11:614721.
DOI
URL
|
| [3] |
GIRI S, PATHAK R, ARYAL M R, et al. Second primary malignancy in acute promyelocytic leukemia:a surveillance,epidemiology and end results database study[J]. Future Oncol, 2017, 13(17):1455-1457.
DOI
URL
|
| [4] |
LENZI L, LEE-JONES L, MOSTOFA M A, et al. Second primary malignancy after acute promyelocytic leukemia: a population-based study[J]. Cancers (Basel), 2020, 12(12):2610.
DOI
URL
|
| [5] |
GARCIA-MANERO G, KANTARJIAN H M, KORNBLAU S, et al. Therapy-related myelodysplastic syndrome or acute myelogenous leukemia in patients with acute promyelocytic leukemia(APL)[J]. Leukemia, 2002, 16(9):1888.
|
| [6] |
LATAGLIATA R, PETTI M C, FENU S, et al. Therapy-related myelodysplastic syndrome-acute myelogenous leukemia in patients treated for acute promyelocytic leukemia:an emerging problem[J]. Blood, 2002, 99(3):822-824.
DOI
URL
|
| [7] |
LOBE I, RIGAL-HUGUET F, VEKHOF A, et al. Myelodysplastic syndrome after acute promyelocytic leukaemia:the European APL group experience[J]. Leukemia, 2003, 17(8):1600-1604.
DOI
|
| [8] |
MONTESINOS P, GONZÁLEZ J D, GONZÁLEZ J, et al. Therapy-related myeloid neoplasms in patients with acute promyelocytic leukemia treated with all-trans-retinoic acid and anthracycline-based chemotherapy[J]. J Clin Oncol, 2010, 28(24):3872-3879.
DOI
PMID
|
| [9] |
弓晓媛, 王迎, 刘兵城, 等. MLL基因重排成人急性髓系白血病的特征和预后分析[J]. 中华血液学杂志, 2018, 39(1):9-14.
|
| [10] |
YAMAMOTO K, SHIBATA F, YAMAGUCHI M, et al. Fusion of MLL and MSF in adult de novo acute myelomonocytic leukemia(M4) with t(11;17)(q23;q25)[J]. Int J Hematol, 2002, 75(5):503-507.
DOI
URL
|
| [11] |
SHIH L Y, LIANG D C, FU J F, et al. Characterization of fusion partner genes in 114 patients with de novo acute myeloid leukemia and MLL rearrangement[J]. Leukemia, 2006, 20(2):218-223.
DOI
|
| [12] |
STREHL S, KÖNIG M, MEYER C, et al. Molecular dissection of t(11;17) in acute myeloid leukemia reveals a variety of gene fusions with heterogeneous fusion transcripts and multiple splice variants[J]. Genes Chromosomes Cancer, 2006, 45(11):1041-1049.
DOI
URL
|
| [13] |
KUROSU T, TSUJI K, OHKI M, et al. A variant-type MLL/SEPT9 fusion transcript in adult de novo acute monocytic leukemia(M5b) with t(11;17)(q23;q25)[J]. Int J Hematol, 2008, 88(2):192-196.
DOI
URL
|
| [14] |
SAITO H, OTSUBO K, KAKIMOTO A, et al. Emergence of two unrelated clones in acute myeloid leukemia with MLL-SEPT9 fusion transcript[J]. Cancer Genet Cytogenet, 2010, 201(2):111-115.
DOI
URL
|
| [15] |
FORLENZA C J, ZHANG Y, YAO J, et al. A case of KMT2A-SEPT9 fusion-associated acute megakaryoblastic leukemia[J]. Cold Spring Harb Mol Case Stud, 2018, 4(6):a003426.
DOI
URL
|
| [16] |
KREUZIGER L M, PORCHER J C, KETTERLING R P, et al. An MLL-SEPT9 fusion and t(11;17)(q23;q25) associated with de novo myelodysplastic syndrome[J]. Leuk Res, 2007, 31(8):1145-1148.
DOI
URL
|
| [17] |
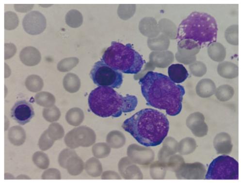
柴国静, 南英博, 赵海利, 等. PML/RARα阳性APL缓解后继发PML/RARα阴性AML 1例报道[J]. 检验医学, 2023, 38(11):1106-1108.
DOI
|
| [18] |
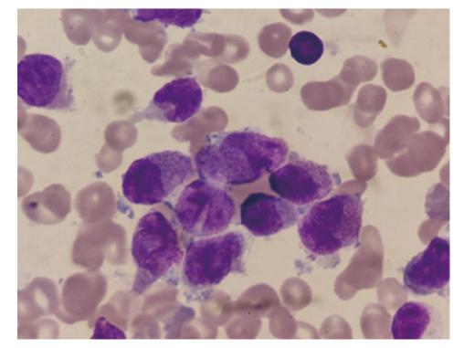
王哲, 徐梅珍, 陈云飞, 等. 急性早幼粒细胞白血病治疗相关性髓系肿瘤四例报告并文献复习[J]. 中华血液学杂志, 2019, 40(12):1008-1014.
|
| [19] |
GALE R P, BENNETT J M, HOFFMAN F O. Therapy-related AML:a slip of the lip can sink a ship[J]. Leuk Res, 2014, 38(3):418-420.
DOI
URL
|
| [20] |
FUJIKI A, IMAMURA T, FURUTANI A, et al. Quantitative RT-PCR analysis of the MOZ-CBP fusion transcript in therapy-related acute myeloid leukemia with t(8;16)(p11;p13)[J]. J Pediatr Hematol Oncol, 2012, 34(5):402-405.
DOI
URL
|
| [21] |
KAYSER S, DÖHNER K, KRAUTER J, et al. The impact of therapy-related acute myeloid leukemia (AML) on outcome in 2 853 adult patients with newly diagnosed AML[J]. Blood, 2011, 117(7):2137-2145.
DOI
URL
|
| [22] |
BHATIA S. Therapy-related myelodysplasia and acute myeloid leukemia[J]. Semin Oncol, 2013, 40(6):666-675.
DOI
PMID
|