作者简介:方 捷,女,1967年生,主管技师,从事临床检验工作。
长征医院近来发现1例以急性肾功能衰竭为主要症状并伴有大量胸腔及腹腔积液的淋巴瘤患者, 现将其临床资料及部分实验室检查情况介绍如下。
患者, 男, 17岁, 因腰痛近1月, 浮肿、少尿约20 d入当地医院治疗。查尿潜血3+, 泌尿系B超显示, 双肾饱满, 皮质回声增强, 双肾肾盂轻度积水, 双侧输尿管上段扩张, 见大量腹腔积液, 入院时有眼睑下肢水肿, 查血肌酐201.6 μ mol/L, 诊断急性肾功能衰竭, 给呋塞米利尿、头孢类等抗菌药物抗感染, 病情无好转。随后复查血肌酐397.9 μ mol/L, 尿素氮12.3 mmol/L, 白蛋白33.5 g/L, 后进行血液透析治疗, 尿量进一步减少直至无尿。为进一步治疗入住长征医院, 入院后肾病理活检示急性肾小管坏死, 给予血液透析、维持内环境稳定等对症处理, 几日后尿量逐渐增加, 最多达1 800 mL, 复查血肌酐下降, 住院期间同时抽取胸腹腔积液, 进一步明确诊断。入院体检显示, 皮肤无黄染, 无皮疹及出血点, 浅表淋巴结未及肿大, 无贫血貌, 眼睑无水肿, 结膜无充血, 巩膜无黄染, 唇无紫绀, 口腔黏膜无溃疡, 咽部无充血, 扁桃体无肿大, 肝、肺、心等器官大多正常。
1. 血常规检查 白细胞22.8× 109/L, 中性粒细胞88.5%, 其他基本正常。
2. 生化检查 乳酸脱氢酶2 250 U/L, 尿素23.1 mmol/L, 尿酸 633 μ mol/L, 肌酐 726 μ mol/L, C反应蛋白> 160 mg/L。
3. 凝血检查 凝血酶时间(TT)22.5 s, 纤维蛋白原(Fbg) 4.94 g/L, D-二聚体 4 680 μ g/L, 纤维蛋白降解产物(FDP)13 mg/L。
4. 血清免疫球蛋白定量 IgE 280 IU/mL, IgM 2.95 g/L。血清蛋白电泳:在γ 区可见一M峰, 量为1.29%。免疫固定电泳:IgM、λ 在γ 区可见异常浓集区带。结论为M带属于IgM型, λ 轻链型。
5. 与肾损伤相关的尿液检查 α 1-微球蛋白23.9 mg/L, 尿κ -轻链10.84 mg/L, 尿λ -轻链33.0 mg/L。
6. 肿瘤标志物检查 糖类抗原19-9(CA19-9)166.8 U/mL, 糖类抗原125(CA125)450.7 U/mL, 神经特异性烯醇化酶(NSE)36.9 μ g/L。
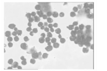
7. 腹水检查 (1)生化检查:乳酸脱氢酶2 758 U/L, 腺苷脱氨酶(ADA) 97 U/L; (2)形态学检查:外观呈黄色浑浊液体, 李凡特试验为弱阳性, 红细胞计数1 280× 106/L, 白细胞计数36 000× 106/L。将腹水离心, 取沉淀物涂片进行瑞氏染色置于油镜下观察, 查见大量异常细胞。该类细胞大小不一, 胞质量少, 胞浆呈深蓝色且有空泡, 核型不规则, 核染色质疏松分布不均, 核仁1~2个, 并且该类细胞几乎占据整张涂片, 而背景细胞极其少见, 疑似淋巴瘤样细胞; (3)免疫学检查:腹水样本经流式细胞(FCM)白血病免疫分型显示, 异常细胞占白细胞总数的97%, 异常细胞表达B系淋巴细胞抗原, 分别为HLA-DR(+)、CD10(+)、CD19(+)、FMC-7(+)、CD20(+)、CD38(+)、Lambda(+)、cCD79a(+)。
一些血液病如急性白血病、淋巴瘤、恶性组织细胞病和骨髓增生异常综合征(MDS)等常常会引发恶性胸腹腔积液, 其中淋巴瘤引起的恶性胸腹腔积液较常见, 约为恶性积液的20%[1]。淋巴瘤患者出现肾脏损害, 常见于霍奇金淋巴瘤(HL), 临床表现以蛋白尿为主, 肾病理活检多为肾小球微小病变, 而非霍奇金淋巴瘤(NHL)合并肾小球肾炎相对少见, 而表现多种类型的肾损害, 轻者仅有少量蛋白尿, 重者为急进性肾炎甚至急性肾功能衰竭。HL的B细胞表面标记如CD10、CD19、CD 20、CD79a等常阴性, 其特征细胞RS细胞、CD15、CD30、CD70、TARC等常阳性[2], 而本例患者CD10、CD19、CD20、CD38、CD79a呈显著高表达, 因此为NHL。NHL导致肾损害的机制尚不明确, 有文献报道可能与异常B淋巴细胞增生、分泌异常球蛋白有关, 还有部分患者与淋巴瘤肾脏浸润有关[3]。本病例实验室检查结果显示, 患者血清免疫球蛋白含量显著增高, 血清蛋白电泳在γ 区可见一M峰, 免疫固定电泳提示M带属于IgM型, λ 轻链型, 尿液检查显示α 1-微球蛋白升高, 且出现κ 和λ 轻链, 说明患者血、尿中已产生大量免疫球蛋白及片段并由此造成严重肾损伤, 证实了上述文献报道。另外患者血清乳酸脱氢酶和肿瘤标志物CA19-9、CA125、NSE高于正常上限3~15倍, 但在患者身上没有显示出器官特异性, 国内外文献报道这几项指标近几年来常被用作NHL的辅助检测项目, 反应肿瘤细胞的增殖活性以及肿瘤抗原的分泌和表达, 在晚期NHL患者尤其是出现浆膜腔积液者, 其血清检测水平常出现异常增高[4, 5, 6, 7]。
淋巴瘤患者出现肾脏损害的临床表现与淋巴瘤症状发生之间并无固定的联系, 肾脏病变与淋
巴瘤症状可以同时出现, 也可以出现在淋巴瘤症状之前或之后[3]。而本病例恰好出现在淋巴瘤症状之前, 病情较为隐匿, 患者无明显的造血系统损害, 无浅表或深部淋巴结肿大或肝脾肿大, 亦无皮肤、黏膜损害, 只能从一系列异常的实验室检查结果推断该患者可能因恶性肿瘤而导致肾脏急性受损, 此时腹水检查是惟一能明确诊断患者病因的方法, 最后的FCM分型结果证实了所观察到的异常细胞为B系淋巴瘤细胞, 但遗憾的是患者因病情迅速恶化而死亡, 无法进一步做骨髓穿刺及淋巴结活检。
胸腹水常规检查中经常会有一些异常细胞特别是肿瘤细胞需要我们仔细甄别, 尤其是在其他各项检查不能明确诊断的情况下显得更为重要, 而且胸腹水中的细胞形态各异, 没有一定实践经验和理论知识很难准确辨认。因此对检验工作者来说需加强对积液中异常细胞和肿瘤细胞知识的培训, 以提高对这些细胞的鉴别能力, 为临床诊断提供正确的方向和直接依据。
The authors have declared that no competing interests exist.
| [1] |
|
| [2] |
|
| [3] |
|
| [4] |
|
| [5] |
|
| [6] |
|
| [7] |
|
