作者简介:韦善求,女,1964年生,学士,副主任技师,主要从事血液学检验工作。
探讨神经母细胞瘤(NB)骨髓侵犯的细胞形态学特征。
方法对19例经骨髓涂片拟诊并最后确诊的NB患儿临床资料进行总结。
结果19例患儿中,年龄<5岁者占78.9%。主要临床表现为中、重度贫血、白细胞减少和(或)血小板减少,部分患者血涂片见中晚幼红细胞或晚幼粒细胞。骨髓象有核细胞增生明显活跃~极度活跃占78.9%,其中NB细胞占30%~87%,可见到不同形态及不同分化阶段的NB细胞,以原始未分化阶段为主,73.7%的病例骨髓涂片中NB细胞团呈典型Homer wrigth假菊形排列。
结论根据临床表现,在骨髓涂片中找到NB细胞并呈假菊形排列的NB细胞团,对NB诊断具有重要指导意义,结合病理活检、影像学及生物化学检查可确诊。形态不典型者还需结合细胞表型或免疫组化等检查协同诊断。
To investigate morphological characteristics of neuroblastoma (NB) in bone marrow involvement.
MethodsThe clinical data were analyzed in 19 cases of NB children patients who had been suspected by the bone marrow smears and finally identified with NB.
ResultsThe 78.9% of NB patients were less than 5 years old. The main clinical manifestations included moderate-severe anemia, leukopenia and (or) thrombocytopenia. Late immature red cells and metamyelocytes presented in some peripheral blood smears. Bone marrow smear examination showed that nucleated cell proliferating distinctly actively to extremely actively accounted for 78.9%, of which NB cells accounted for 30%-87%. The NB cells displayed various shape different stages with original undifferentiated stage as main part. 73.7% cases in the group showed NB cell mass with typical Homer wrigth false daisy-shaped arrangement.
ConclusionsBasing on clinical manifestations, NB cell and cell mass cells with typical Homer wrigth false daisy-shaped arrangement are found in bone marrow smears,which are significant in NB diagnosis. The diagnosis can be made with the further combination of biopsy, imaging and biochemical examination. If the form is not typical, it will be needed to have a synergetic diagnosis combining cell phenotype or immunohistochemistry examinations.
神经母细胞瘤(neuroblastoma,NB)是年龄较小儿童常见的实体肿瘤。该疾病发病隐匿,恶性程度高,初诊时约有80%以上患儿已发生转移,其中以骨髓转移最常见[ 1, 2]。NB细胞一旦侵犯骨髓则弥漫浸润且易聚集形成Homer wrigth假菊形团状排列,往往在x线可见骨质改变之前即可在骨髓涂片中找到瘤细胞,阳性检出率达到 80%~90%[ 3, 4]。为此,我们将广西医科大学第一附属医院临床医学实验部细胞室及南京市第四人民医院检验科2006年1月至2009年11月拟诊并最后确诊的19例NB病历资料进行归纳总结。
临床资料来源于病历。19例患者中男12例,女7例;年龄最小2岁1个月,最大11岁;<5岁15例(78.9%),6~7岁3例,>10岁1例。
骨髓穿刺前常规进行血液细胞学分析,其中9例进行末梢血涂片。血涂片经瑞—姬复合染色后先在低倍镜下观察,然后转油镜确认。
采集骨髓液涂片6~9张,选取自然干燥的涂片3~4张进行瑞—姬复合染色,必要时将涂片全部染色后镜检。低倍镜观察涂片全貌,估计有核细胞增生度,计数巨核细胞数;油镜分类计数有核细胞200个并确认病理细胞。根据需要做细胞过氧化物酶染色。
1. 有核细胞增生度 本组骨髓增生活跃2例,NB细胞占有核细胞<5%,造血细胞基本正常或仅红系轻度减低;骨髓增生明显活跃~极度活跃17例(78.9%),NB细胞占有核细胞30%~87%,造血细胞两系或三系同时减低,增生极度活跃者涂片中仅见少量造血细胞散在分布于瘤细胞间隙;骨髓增生极度低下2例,经换部位多次穿剌后均找到具有特征性排列的NB细胞团。
2. 瘤细胞形态 多形性,不同病例之间差异显著,甚至在同一涂片中可见到不同形态及不同分化阶段的瘤细胞。本组病例NB细胞均以原始未分化阶段为主,典型者胞浆量少或裸核,浆淡蓝~灰蓝,无颗粒;核大,椭圆形或不规则形,常见“人”字形、“八”字形核及多核,染色质细致或呈沙粒状,核仁或模糊或多个显现。依细胞形态其中原始粒细胞样瘤细胞1例( 图1)、原始淋巴样瘤细胞1例( 图2)、星形神经原始瘤细胞10例( 图3)、原始神经瘤细胞7例( 图4)。根据瘤细胞浆内颗粒多少及神经纤维丝有无可将NB细胞分低、中、高3个分化阶段( 图5),可见部分瘤细胞处于低~中分化阶段。
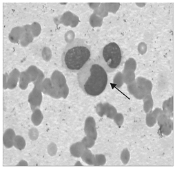
3. 瘤细胞排列 在19例骨髓涂片中找到呈典型Homer wrigth假菊形排列的NB细胞团14例(73.7%)( 图6),呈砌墙样排列的NB细胞3例( 图7),另2例分别似原粒和原淋细胞样散落分布在正常造血细胞之间。
汤静燕等[ 5]提出符合以下条件可诊断NB:(1)病理活检确诊;(2)典型的影像学表现加骨髓细胞学检查或尿VMA明显升高。
虽然肿块活检是确诊NB的金指标,但NB原发灶隐匿,早期无特珠症状且极易发生转移,因此,在临床上以肿块活检首诊的病例不多见。NB细胞侵犯骨髓后广泛浸润且具有聚巢成团倾向,特征性改变是成群瘤细胞呈典型多层环状或锥形排列的菊团状,中心包绕嗜酸性粉红色原纤维物质,在骨髓涂片中容易找到这种包合体特征的NB细胞团,确诊符合率很高,是诊断NB的重要依据。本组患者有14例(73.7%)瘤细胞具有此排列特征,最后100%确诊(活检证实5例,结合影像学确诊9例)。但是,也有些病例NB细胞形态与其他恶性肿瘤及某些血液病细胞没有显著区别标志,因此,形态学特征不能作为确诊的单一条件。影像学检查可探测肿瘤部位、生长方式、转移、邻近器官及血管受累情况等,对NB辅助诊断、分级及治疗发挥重要作用[ 6]。本组有16例患者据此探明肿瘤部位并确诊。NB细胞具有合成分泌儿茶酚胺类物质的特点,分化差的NB细胞因失去儿茶酚胺合成及代谢的多种酶,多巴和多巴胺水平较高,而分化好的 NB细胞则去甲肾上腺素和肾上腺素水平较高。高香草酸(HVA)和VMA分别是其代谢终产物。当肿瘤原发灶或转移灶不能确定时,尿HVA、VMA含量同时升高是确诊神经母细胞瘤的重要指标[ 7]。本组有3例肿瘤部位不明患者依据尿VMA阳性确诊。
NB误诊率很高[ 4],当瘤细胞侵犯骨髓中晚期部分病例骨髓纤维化,骨穿取材显示“干抽”,常被误诊为再生障碍性贫血、低增生性白血病或骨穿失败。本组有4例取材达3次以上,这类涂片经仔细观察片尾或周边常可发现散在或小团分布的瘤细胞,经多部位穿刺一般都能找到具有特征性排列的NB细胞。当瘤细胞酷似原始粒细胞或原始淋巴细胞时,常与白血病、恶性淋巴瘤、Ewing瘤、小细胞未分化癌等混淆,可借助下列方法鉴别诊断:(1)瘤细胞免疫组化检测 NSE存在于神经元及神经来源的细胞浆中,通过化学方法使抗人NSE透过细胞膜与之免疫结合,在细胞浆内产生棕色颗粒反应,是一项具有高度敏感性和特异性的标志物[ 8];(2)瘤细胞表型抗原检测 NB细胞表面表达黏附分子CD56和神经节苷脂 D2(GD2)抗原。CD56分布于非造血细胞表面,在神经内分泌和神经外胚层恶性肿瘤诊断中起重要作用,CD81广泛分布于造血细胞、神经外胚层细胞和间充质细胞表面,在 NB分子表面也呈强表达,CD45是WBC共同抗原但在NB细胞表面无表达。采用流式细胞仪技术测定抗原组合CD56/CD81/CD45或 CD56/GD2/CD45,当CD56(+)/CD81或GD2(+)/ CD45(-)或CD56(+)/CD2(+)/CD45(-)即可定性[ 9, 10]。
| [1] |
|
| [2] |
|
| [3] |
|
| [4] |
|
| [5] |
|
| [6] |
|
| [7] |
|
| [8] |
|
| [9] |
|
| [10] |
|
