通讯作者:季育华,联系电话:021-64370045-600637。
作者简介:曹国君,男,1984年生,硕士,主要从事免疫低下人群巨细胞病毒感染和侵袭性真菌感染检测相关的监测。
改良真菌基因组DNA的提取方法,建立真菌通用聚合酶链反应(PCR),为目前临床真菌感染的早期诊断、预防和治疗提供有效工具。
方法参考前人报道的多种真菌基因组DNA的提取方法,作改良以确立本研究中所采纳的手段,并应用真菌核糖体DNA(rDNA)通用引物,以实验室保存的标准菌株及临床分离菌株来建立临床真菌感染检测用通用PCR。
结果白念珠菌和烟曲霉在75 ℃温度下分别作用60和80 min可以完全被灭活。经目前多种破壁方法的探讨,发现对于白念珠菌(单细胞真菌)选用酶消化法,破壁效率高达98.29%,而烟曲霉(多细胞真菌)则需要酶消化法与打击器振荡法联合应用,其破壁率也可达66.68%,进一步用酚氯仿法抽提其基因组DNA,能够获得相对纯度高且有一定得量。当选择真菌rDNA ITS2区间的一对通用引物,通过PCR反应体系的优化,使得本研究中建立的通用PCR,对于白念珠菌和烟曲霉的检测下限分别为5个和9.7个,其PCR产物测序结果与数据库比对完全一致,同时选择临床分离的或实验室保存的其他真菌、细菌和病毒株进行验证,该方法仅针对真菌群,结合测序分析可以实现种属水平的鉴定。
结论改良真菌基因组DNA提取后所建立的针对真菌rDNA的通用PCR敏感且特异,适宜实验室操作。
To improve a method for the extraction of fungal genome DNA, and establish a broad-range fungal polymerase chain reaction (PCR),in order to provide the reference for early diagnosis, prevention and treatment of fungal infection disease.
MethodsAccording to the former fungal genome DNA extraction methods, a method was formed and improved in this experiment. The fungal ribosome deoxyribonucleic acid (rDNA) was applied as universal primer. A broad-range fungal PCR was established by testing the standard strains and the isolated clinical strains stored.
ResultsThe improved extraction method could fulfill the research use, and the broad-range fungal PCR has good sensitivity, specificity and stability. It is suitable for the clinical application.
免疫功能低下的特殊群体中,侵袭性真菌病(invisive fungal disease,IFD)的高发病率与高死亡率已经引起了人们的高度关注,早期诊断、早期治疗的艰巨重任寄赋于IFD的试验诊断[ 1~ 3],聚合酶链反应(PCR)具有敏感、快速且可以鉴定到种的优点,使得人们聚焦于真菌基因组DNA的检出与分析[ 4~ 7]。
1.菌株及病毒株 白念珠菌标准菌株(ATCC 90028)1株,烟曲霉标准菌株(ATCC 10894)1株,烟曲霉临床分离株3株,黄曲霉临床分离株2株,黑曲霉临床分离株1株,白念珠菌临床分离株3株,光滑念珠菌临床分离株2株(以上菌株由华山医院真菌室惠赠);嗜肺军团菌(ATCC 33215)1株,大肠埃希菌(ATCC 25922)1株,流感嗜血杆菌(ATCC 10211)1株,以上菌株基因组DNA由复星医学科技发展有限公司李志远惠赠;尖端赛多孢临床分离株1株,铜绿假单胞菌临床分离株1株,人巨细胞病毒(HCMV)标准病毒株(AD169)1株,乙型肝炎病毒(HBV)临床分离株1株。
2.培养基 Medium B(MB)、马铃薯培养基(PDA)等详见参考文献[ 3]。
3.试剂与仪器 (1)主要试剂:溶壁酶lyticase(Sigma,L 4025,900 U/mL),核糖核酸酶A(Sigma,Rc-R5500,10 mg/mL),蛋白酶K(Biotech,LJ0127A2010J,20 mg/mL,>30 U/mg),三羟甲基氨基甲烷-盐酸-乙二胺四乙酸缓冲液(TE; 三羟甲基氨基甲烷-盐酸10 mmol/L,pH值8.0,乙二胺四乙酸缓冲液1 mmol/L);酚-氯仿-异戊醇(25∶24∶1,上海生工公司),酵母基因组DNA抽提试剂盒(SK1373,上海生工公司),ExTaq TM (宝生物公司,DRR001AM*),λ-Hind Ⅲ digest DNA Marker(D3403A,宝生物公司),100bp DNA Ladder Marker(D505A,宝生物公司),DNA Marker 1(天根生化科技有限公司,MD101-02),琼脂糖(上海金璐贸易有限公司,进口分装);(2)主要仪器:Olympus BX-60显微镜,牛鲍计数板,隔水式电热恒温培养箱,Polystst CC水浴箱,2 mL硬壁管(上海奥然实验设备有限公司),陶瓷珠(法国Bertin公司,15005C,直径0.5 mm),Minibeadbeater-1打击器(美国思伯明科学器材公司,货号:3110B×EUR),Shangping MD100-2天平,紫外分光光度计(Beckman coulter,DU730),冷冻离心机(Eppendorf,型号:5417R),生物安全柜(北京东联哈尔仪器制造有限公司),漩涡混合器(海门麒麟,型号:QL-901),大和基因扩增仪(杭州大和,型号:TC-96/T/H),Mitsubishi微波炉,Tanon-4100数码凝胶图像分析系统。
1.真菌基因组DNA的提取与分析 (1)标本的制备:参照文献[2]培养并收获白念珠菌和烟曲霉孢子,分别经75 ℃水浴作用60和80 min,续培养法确认达完全灭活与否。用磷酸盐缓冲液(PBS)配制成悬液,然后用牛鲍计数板于显微镜下计数悬液中的菌体细胞数(计数3次,取平均值),然后将菌液分装于1.5 mL的离心管(EP管)内(白念珠菌和烟曲霉各分装3管),使每管菌液约含有1.32×108个(菌量不宜超过3×108个)真菌细胞,并将最终的菌液量调整为400 μL;(2)真菌破壁提核酸:白念珠菌基因组DNA的提取步骤为:加入溶壁酶(900 U/m L )100 μL/管,加入蛋白酶K(20 mg/mL)10 μL,在涡旋器上混匀20 s,37 ℃水浴过夜;用酚氯仿法抽提基因组DNA,加入TE(100 μL/管)溶解其基因组DNA,然后每管中加入RNase(10 mg/mL)2 μL,37 ℃保温20 min,最终将3管DNA合并于其中1管中,并混匀,-20 ℃冻存备用。烟曲霉基因组DNA的提取步骤为:向每管中分别加入溶壁酶(900 U / mL )100 μL,蛋白酶K(20 mg/mL)10 μL,在涡旋器上混匀20 s,37 ℃水浴过夜;出标本,将消化过的菌液分别转移至相应的2.0 mL硬壁管(管内含有0.5 g陶瓷珠,直径为0.5 mm)中,在打击器上振荡70 s,击打频率2 500次/min;用酚氯仿法抽提基因组DNA,加入TE(100 μL/管)溶解其基因组DNA,然后每管中加入RNase(10 mg/mL)2 μL,37 ℃保温20 min,最终将3管DNA合并于其中1管中,并混匀,-20 ℃冻存备用;(3)真菌基因组DAN的鉴定:用电泳法和紫外分光光度计对抽提的基因组DNA进行质量分析。
2.真菌rDNA通用PCR法的建立 (1) PCR扩增目的基因片段:参照参考文献[5],设计一对靶序列在真菌rDNA ITS2区的通用引物,即:ITS3 5'-GCATCGATGAAGAACGCAGC- 3';ITS4 5'-TCCTCCGCTTATTGATATGC -3'(委托上海英俊公司合成),靶片段长度为300~600 bp。PCR反应总体积为50 μL,包括10×缓冲液5 μL,dNTPs (各2.5 mmol/L)4 μL,Mg2+(25 mmol/L)4μL,上下游引物(10 μmol/L)各1 μL, DNA模板2 μL,Taq DNA聚合酶(5 U/μL)0.5 μL,加高压灭菌后的双蒸水(ddH2O)将反应体积补足至50μL。PCR反应条件为:94 ℃预变性 10 min;94 ℃变性15 s, 55 ℃退火30 s,72 ℃延伸40 s,共35个循环;然后72 ℃再延伸7 min;(2)PCR的敏感性、特异性和稳定性分析:选择临床分离的或实验室保存的细菌、病毒以及真菌株,按照上述及相应的方法学操作,获得相应的基因组DNA,并分别以此为模板,通过PCR扩增后检测其产物并进行测序分析。将从9.7×104个烟曲霉孢子中抽提的基因组DNA作10倍梯度稀释(97 000~0.97个烟曲霉孢子)。进行PCR扩增45个循环后将产物电泳以观察其产物,同一浓度各重复3次。进一步将1×105个白念珠菌和烟曲霉孢子的DNA作为模板,分别重复4个标本作同步扩增分析,来验证该反应体系的稳定性;(3)不同真菌株标本的应用测试:选择实验室保存的真菌标准株临床分离株,包括酵母类,如白念珠菌与光滑念珠菌,以及曲霉类,如烟曲霉、黄曲霉等。重复上述的真菌基因组DNA提取并作为模板,经PCR扩增后电泳法检测其产物,同时外送测序,将结果在http://blast.ncbi.nlm.nih.gov/Blast.cgi数据库中进行结果查询与比对。
1.真菌破壁条件的确立 参照有关报告的诸种方法,结合本实验室的实况,尤其考虑到该方法将应用于临床标本的检测,我们选择尝试了液氮研磨法、冻融法、超声法、打击器振荡法(陶瓷珠)、酶消化法和氯化苄法等方法对最佳破壁条件进行探讨与比对(结果另文报道)。当1.32×108个白念珠菌经过溶壁酶消化(37 ℃)过夜后,取等量菌液于显微镜下观察并计数,发现几乎全部的白念珠菌均被破壁裂解,见 图1;而 图2所示的同样浓度的烟曲霉,则需要先经酶消化(37 ℃)过夜处理,再加打击器振(击打频率2 500次/min,70 s)方能获得近70%的破壁率。
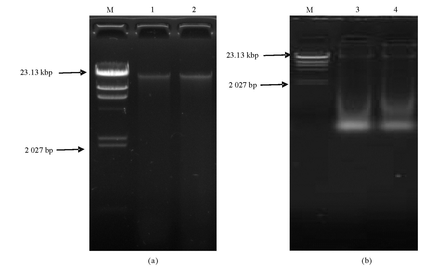
2.基因组DNA的提取与鉴定 图3所示的是白念珠菌和烟曲霉孢子中提取的DNA,电泳后用Tanon-4100数码凝胶图像分析仪所拍的照片, 图3a烟曲霉的基因组DNA在>20 kb处出现单独清晰的条带,而 图3b所示的白念珠菌则呈现2条带,大分子条带>23 kb,而小分子条带则较小。 表1所示为以上2种不同真菌基因组DNA经紫外分光光度计检测分析的结果。
| 图3 基因组DNA完整性鉴定注:1%胶浓度,12 V/ cm,分别为1.32×108烟曲霉基因组DNA和白念珠菌基因组DNA;(a)图上样量为30μL/孔;(b)图上样量为20 μL;M为λ-Hind Ⅲ digest DNA Marker;1、2均为烟曲霉;3、4均为白念珠菌 |
| 表1 紫外分光光度计定量结果 |
1.PCR法的敏感性、特异性和稳定性分析 敏感性:当以9.7×105个烟曲霉孢子中所提取到的DNA作为原液,经10倍梯度稀释后,如 图4所示,相当于9.7个烟曲霉孢子的DNA就可被检出,与相关报道基本一致;与之类似,白念珠菌的检测下限为相当于5个真菌细胞的DNA量。特异性: 图5的电泳结果并经测序(订单号:149118SO)表明,该PCR反应体系仅对真菌类基因组DNA进行特异性扩增,所设计的通用引物具有较高的种属特异性。稳定性: 图6的电泳结果表明,该PCR反应体系对于白念珠菌(单细胞)和烟曲霉(多细胞)的扩增具有良好的稳定性。
2.不同真菌株的标本测试 见 图7,应用rDNA-ITS2区间的通用PCR引物,分别将白念珠菌和烟曲霉的基因组DNA作为作为模板,在上述提及的PCR反应体系中扩增,所获PCR产物片段大小与预期一致,经测序确定白念珠菌靶片段为为299 bp,而烟曲霉测序为301 bp,其序列与基因库比对高度吻合(99%);其他临床分离株的测序结果在数据库中比对,发现序列高度一致(98%~100%),而且其种属水平上的鉴定结果与临床报告结果完全一致,因此,该结果初步提示,对此PCR产物进行序列分析可以实现对病原菌达到种属水平鉴定,见 表2。
| 表2 序列比对结果 |
近年来,随着器官移植受者、接受免疫治疗的患者、获得性免疫缺陷综合症患者、接受广谱抗菌药物治疗及插管等侵袭性治疗患者等易感人群的不断增多,真菌感染的形势越来越严峻,为了改善疾病预后并提高患者存活率,真菌感染性疾病的早发现早治疗变得尤为重要,而当前的检测方法主要为培养法、组织病理学检测和1-3-β-D葡聚糖/半乳甘露聚糖(G/GM)试验等检测方法,但因其存在敏感性和特异性较低等缺陷[ 8~ 10],已无法满足当前临床对IFD早期诊断需求,因此,我们亟需寻求建立一种敏感性和特异性更高的无创伤性检测方法——PCR。
PCR成功的关键在于高质量真菌基因组DNA的提取和污染的控制。首先,因真菌有细胞壁且富含多糖,高质量真菌基因组DNA的提取的关键在于有的破壁,当前实验室常用的破壁方法包括溶壁酶酶解法、打击器振荡法、液氮研磨法、超声法、十六烷基三甲基溴化铵(CTAB)法、氯化苄法、冻融法、尿素裂解法、碱性水解法等,本研究经前期的尝试与探讨得出以下结论:对于白念珠菌(单细胞),用酶消化法就可以达到良好的破壁效果,对于烟曲霉(多细胞),因其细胞壁的特殊结构,单独应用酶消化法无法达到预期的破壁效果,需联合应用打击器振荡法,此外收获真菌胞体前培养的时间不宜过长,否则影响破壁效果;关于临床标本如血液、痰液或其他分泌物等的真菌破壁和提核酸的工作已初露端倪。其次,PCR污染的控制是PCR成功的关键因素之一,也是当前限制真菌PCR在临床应用的最主要因素,PCR污染包括内源性污染和外源性污染,内源性污染主要指人体内正常寄生真菌群引起最终结果的假阳性,外源性污染主要包括周围环境中腐生菌对标本的污染、试剂的污染和标本间的交叉污染等,要求我们在标本的采集、储存、DNA提取和PCR检测的全过程设立严格质控的同时,继续解决真菌核酸检测法的量化问题,后续研究正在进行中。
PCR具有敏感、快速和准确的特点,因此,在真菌性病原的检测方面是一种非常有潜力的方法,与其他实验室指标联合应用,可提高临床诊断效果。真菌核糖体RNA(rRNA)在其基因组中具有多个拷贝,报道称可能含有50~100个拷贝[ 7, 11],且内部存在供设计引物用的保守区域,因此,当前关于真菌通用PCR研究,大多是在真菌rRNA[ 8]基因的保守区域内设计通用引物,对应的靶区域主要包括5.8S rRNA、18S rRNA、28SrRNA、ITS1和ITS2,其中ITS1与ITS2区的内部序列差异较大,通过序列分析可以实现种属水平的鉴定的目的。然而不同种属真菌间的药物敏感谱[ 7, 11, 12]又不尽相同,因此,其深入研究的结果有望促进在侵袭性真菌感染的治疗中实现疾病的个性化治疗目的,任重而道远。
| [1] |
|
| [2] |
|
| [3] |
|
| [4] |
|
| [5] |
|
| [6] |
|
| [7] |
|
| [8] |
|
| [9] |
|
| [10] |
|
| [11] |
|
| [12] |
|
