作者简介:高菊兴,女,1964年生,学士,副主任技师,主要从事形态学及体液诊断等临床检验工作。
探讨通过骨髓象检查诊断骨髓转移癌的价值,以及骨髓转移癌骨髓象变化的特点。
方法常规髂前或髂后上棘抽取骨髓液涂片,同时制备血涂片,行瑞-姬复合染色后显微镜检查,找到转移癌(瘤)细胞,即诊断为骨髓转移癌(瘤)。
结果64例患者均由骨髓涂片骨髓象检查发现癌(瘤)细胞而确诊。其中1次检查即明确诊断者52例(81.2%),2次检查明确诊断者11例(17.2%),3次检查明确诊断者1例(1.6%)。癌(瘤)细胞主要出现在涂片的尾部及边缘,有17例(26.6%)涂片所见主要为癌(瘤)细胞。根据涂片中出现的癌(瘤)细胞的形态、排列方式,结合临床表现,骨髓象检查诊断为癌细胞骨髓转移(未分类)32例(50.0%),腺癌骨髓转移29例(45.3%),神经母细胞瘤骨髓转移3例(4.7%)。
结论诊断恶性肿瘤骨髓转移,骨髓象检查阳性率高,简便易行,只要涂片中找到癌(瘤)细胞,即可直接获得骨髓转移癌的病理诊断。但当骨髓有核细胞增生活跃,癌细胞单个散在或癌细胞团不典型时,诊断及判断细胞来源需慎重。
To explore the diagnostic value for bone marrow metastatic carcinoma by the examination of myelogram and the characteristic of myelogram change of bone marrow metastatic carcinoma.
MethodsThe patients'bone marrows were taken routinely. Bone marrow smears and blood smears were made by Wright and Giemsa staining and the finding of carcinoma (tumor) cells meant that there was bone marrow metastatic carcinoma (tumor).
Results64 patients were all diagnosed by finding the metastatic carcinoma (tumor) cells in the bone marrow smears. 52 cases were diagnosed clearly in the first examination(81.2%), and 11 cases in the second examination(17.2%)and 1 case in the third examination(1.6%) were diagnosed. Metastatic carcinoma (tumor) cells scattered mainly on the tails and rims of the smears and there were mainly carcinoma (tumor) cells in 17 cases (26.6%). According to the morphology and arrangement manner of the carcinoma (tumor) cells in the smears, combining the clinical features, the final diagnosis of myelogram included 32 cases carcinoma cells bone marrow metastasis(unclassified, 50.0%),29 cases adenocarcinoma bone marrow metastasis(45.3%)and 3 cases neuroblastoma bone marrow metastasis (4.7%).
ConclusionsMyelogram has a higher positive rate, the characteristic of simpleness and the practical approach to the diagnosis of bone marrow matastatic carcinoma (tumor) methods. However, we should be caution in the diagnosis and judgement of the cell source when we see single scattered cancer cell or atypical cancer cell mass.
骨髓转移癌是髓外器官或组织中的恶性肿瘤向骨髓内的转移。骨髓中的血管为独特的窦状系统,其血运丰富,故为癌或瘤转移的好发场所之一,其发生率与病期的早晚及肿瘤的类型有关。恶性肿瘤发生骨髓转移,浸润破坏骨髓造血组织,可相继发生血液学改变[ 1, 2]。我们自1985年1月至2007年12月经骨髓象检查确诊骨髓转移癌64例。
64例患者中,男35例,女29例,男女比例为1∶0.83;年龄1~69岁。临床症状与表现中贫血57例(89.1%),大部分为中~重度贫血;骨痛39例(60.9%),以腰、骶骨、胸骨疼痛为常见;发热34例(53.1%);出血15例(23.4%);其他尚有乏力、消瘦、头晕、恶心、呕吐等症状。查体:胸骨压痛27例(42.2%),肝肿大13例(20.3%),脾肿大9例(14.1%),淋巴结肿大8例(12.5%)。最初临床诊断为贫血原因待查25例,多发性骨髓瘤14例(贫血及血沉显著增快等),白血病7例(胸骨压痛、贫血及肝、脾、淋巴结肿大等),腹膜后肿瘤3例(均为幼儿,以腹膜后明显肿块就诊),再生障碍性贫血3例,前列腺肿瘤3例,恶性组织细胞病2例,神经母细胞瘤1例,诊断不明者6例。
常规髂前或髂后上棘穿刺抽取骨髓液涂片4~6张,同时制备末梢血涂片2张,取自然干燥的骨髓涂片2张、血涂片1张,行瑞-姬复合染色,干后先用光学显微镜低倍镜观察整个涂片,然后再用油镜进一步检查确认,找到转移癌(瘤)细胞后,即诊断为骨髓转移癌(瘤)。
64例患者外周血血红蛋白、红细胞均有不同程度的减低,白细胞增高、减低不定,血小板基本正常,也有减低者,血片中可见到幼粒、幼红细胞,均未见到癌(瘤)细胞。
二、骨髓象变化
64例患者均由骨髓涂片骨髓象检查发现癌(瘤)细胞而确诊。其中1次检查即明确诊断者52例(81.2%),2次检查明确诊断者11例(17.2%),3次检查明确诊断者1例(1.6%)。癌(瘤)细胞主要出现在涂片的尾部及边缘,有17例(26.6%)涂片所见主要为癌(瘤)细胞。
64例患者骨髓涂片骨髓增生明显活跃者15例(23.4%),其中以中、晚幼红细胞增生为主,并可见多个“保姆”细胞,多个中幼红细胞围绕着一个巨噬细胞,粒系细胞增生减低,巨核系细胞增生正常,涂片尾部可见成堆的癌细胞。骨髓增生活跃者32例(50.0%),红、粒、巨三系细胞均增生良好,涂片尾部和边缘可见到散在和成堆的癌细胞。骨髓增生减低者12例(18.8%),红、粒、巨三系细胞均增生不良,涂片中可见到大量癌细胞。骨髓增生重度减低者5例(7.8%),红、粒、巨三系细胞增生均严重受抑制,涂片中几乎均是癌细胞。
根据涂片中出现的癌瘤细胞的形态,排列方式,结合临床表现骨髓象检查诊断为癌细胞骨髓转移(未分类)32例(50.0%),腺癌骨髓转移29例(45.3%),神经母细胞瘤骨髓转移3例(4.7%)。其形态特征分别如下:
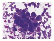
癌细胞骨髓转移(未分类):癌细胞常成团出现于片尾和边缘。细胞体积大,大小不一,呈现癌细胞特有的一“大”(细胞体积大,核大,核仁大而明显),二“黑”(核染色质增粗深染)、三“挤”(排列极性紊乱)、四“不规则”(大小不一,畸形)等特点,由于形态、排列不典型,故难以鉴别类型,见 图1。
腺癌细胞:与其他组织中腺癌细胞类似,具有典型的腺腔样排列或索状排列,一般尚能诊断,见 图2。骨髓中出现的腺癌细胞最常见为乳腺癌细胞转移,见 图3。胃癌细胞转移,见 图4。前列腺癌细胞转移,见 图5。
神经母细胞瘤:瘤细胞形态可分为淋巴样细胞型和组织细胞型。本组3例均为淋巴样细胞型。全部涂片均出现较多量瘤细胞,有的几乎全片皆为转移瘤细胞。瘤细胞较小,大小、形态较一致,似淋巴细胞,呈圆形或不规则,核大,锥形或椭圆形,染色质致密粗粒状,核仁1~2个,隐约可见,片尾均可见到特征性的锥形向心性排列菊花团样瘤细胞见 图6。亦可见到较多散在瘤细胞及裸核瘤细胞。
文献报道,原发性肿瘤骨髓细胞学检查,约有10%~13%可发现肿瘤细胞[ 3]。恶性肿瘤发生骨髓转移,与肿瘤的病程及类型有关,病程越长,转移至骨髓的机会越多。常见易发生骨髓转移的恶性肿瘤有前列腺癌、乳腺癌、肺癌、胃癌及神经母细胞瘤等[ 4]。诊断恶性肿瘤骨髓转移,有骨髓细胞学检查、X线检查等,而骨髓细胞学检查阳性率较其他方法高,是一种简便易行,可直接获得骨髓转移癌的病理诊断方法[ 5]。
据报道,骨髓象检查涂片中找到癌瘤细胞,约有l/4病例可查到原发病灶。本组64例患者,根据骨髓象检查的诊断,经临床其他检查(胃镜、病理组织学、超声、计算机体层摄影术(CT)、磁共振、肿块局部穿刺细胞病理学)证实,最终查明原发病灶者34例(53.1%),其中胃癌11例,乳腺癌7例,肺癌5例,前列腺癌4例,神经母细胞瘤3例,肝癌2例,食管癌1例,卵巢癌1例。骨髓象检查,癌瘤细胞常较少,形态变化大,除神经母细胞瘤瘤细胞数量多且具有特征性形态排列外,其余均无特异性,亦无法指示组织来源。准确鉴别组织类型,指示组织来源,尚需病理活检证实[ 6]。本组即有1例骨髓细胞学诊断为转移癌,活检证实为肝癌骨髓转移,后经B超证实。
骨髓转移癌细胞因原发肿瘤的不同而各异,但总的特点都不同于骨髓内的正常造血细胞。多数癌(瘤)细胞成簇、成团出现,少者4~5个成群,多者几十个细胞成簇,彼此间界限不清,形态大小不一,但也有单个散在分界清晰的癌细胞,直径一般>骨髓细胞(巨核细胞除外),细胞呈多形性变,可见空泡或脂肪变性,核质比例变大,核的形状与结构异常,核大,核染色质增粗,可见核分裂象,双核、多核易见,核仁巨大不规则,胞质淡蓝色,有少数空泡及颗粒。
恶性肿瘤骨髓转移,以癌为多见,肉瘤极少。由于穿刺部位和穿刺吸取标本有限,以及常出现干抽或稀释等情况,故骨髓涂片阳性率并不高。文献报道骨髓转移癌痛点穿刺阳性率较高。癌瘤细胞发生骨髓转移,大量癌瘤细胞在骨髓涂片中出现时,诊断并不困难。但当骨髓有核细胞增生活跃,癌细胞单个散在或癌细胞团不典型时,诊断需慎重。癌细胞团多出现于涂片尾端和边缘,细胞排列极性紊乱,不能归类,有时其周围尚可见到散在的典型的癌细胞,有时癌细胞仅在1张涂片中出现,因此诊断时,应仔细巡视全部涂片,同时注意与涂片中正常骨髓细胞团、组织细胞、退化细胞等鉴别,以免发生漏、误诊[ 7]。
恶性肿瘤骨髓转移,因癌瘤细胞的骨髓浸润,可相继在外周血中出现幼稚粒细胞、幼稚红细胞,呈现类白血病或类红白血病反应等血液学改变,本组即有2例呈现类白血病反应。外周血中一般难以发现癌瘤细胞,若血液中找到癌瘤细胞,即称为癌细胞血症[ 8],本组仅见1例。对恶性肿瘤骨髓转移,临床上常易误诊,如果患者出现贫血、发热、骨疼、恶液质、血沉增快,即应作骨髓细胞学检查,仔细寻找转移癌瘤细胞,协助临床,明确诊断。
| [1] |
|
| [2] |
|
| [3] |
|
| [4] |
|
| [5] |
|
| [6] |
|
| [7] |
|
| [8] |
|
